"Antivax": the turbulent history of vaccination for three centuries

"Antivax": the turbulent history of vaccination for three centuries

In Antivax, the historian of science Laurent-Henri Vignaud plunges us into the eventful history of vaccination and dissects the springs of virulent antivaccinism for three centuries.

Read More  
MALVEILLANCE… FALSE NEWS… VACCINES… Who said: “It was better before! "

MALVEILLANCE… FALSE NEWS… VACCINES… Who said: “It was better before! "

Under the reign of Louis XVIII, the prefects sent government orders to all mayors of France by decrees listed in book form, considering that loose sheets were easily lost. Thus, the prefect of Var, Mr. Siméon, sends the following circulars

Read More  
Boccace (1313-1375), pioneer of epidemiology?

Boccace (1313-1375), pioneer of epidemiology?

The current epidemic of covid-19 leads us to look at the history of major epidemics and in particular of the plague: we regularly find reference to the "pestilence of the air" considered as a vector of contagion. However, if history has especially retained this notion willingly derided, other hypotheses were raised from the fourteenth century, not only by Pietro da Tossignano in his work dated 1399, but also by Boccace in his Decameron published between 1349. and 1353.

Read More  
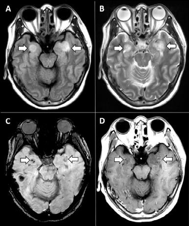
Covid-19: Symptoms may be neurological

Covid-19: Symptoms may be neurological

Covid-19 disease can sometimes manifest itself in a neurological form. This is the observation made by medical teams several weeks after the first clinical descriptions of the SARS-CoV-2 coronavirus infection. As the Covid-19 epidemic progresses, clinicians, radiologists and neurologists are warning about these little-known clinical forms.

Read More  
Against the "Spanish flu", the world was covered in masks

Against the "Spanish flu", the world was covered in masks

At the beginning of 1919, when the virus spread internationally, the prevention mask - like quinine or alcohol toddler - appeared as a first-hand prophylactic method. The press relayed this sudden eagerness to isolate faces.

Read More  
"The plague remains the word of all epidemics"

"The plague remains the word of all epidemics"

It is the scourge par excellence, one that can mow half of a population. Beyond the traumatic cycles of European history, started in 541 and 1347, the word plague encompasses all epidemics. It tells of the fragility of our humanity.

Read More  
"The scale of the next pandemic will depend on us"

"The scale of the next pandemic will depend on us"

In 2017, The Great Slayer, an account of the Spanish flu pandemic that occurred a century earlier, British essayist Laura Spinney looks back at how it unfolded and its resonances with the great fear surrounding the coronavirus.

Read More  
Ignatius Semmelweis (1818 - 1865) The pioneer of hand washing

Ignatius Semmelweis (1818 - 1865) The pioneer of hand washing

In 2020, hand washing is the main "barrier gesture" used to combat the spread of Covid-19. Ignatius Semmelweis gets his revenge.

Read More  
FIGHT THE VIRUS

FIGHT THE VIRUS

https://www.youtube.com/embed/MIGMLTQj5y4

Read More